受け口(小児)|池袋・群馬・千葉で歯列矯正・外科的矯正を行なうクリア矯正歯科グループ

menu
カウンセリング予約・お問い合わせ
池袋クリア矯正歯科
03-5927-1824 予約
伊勢崎クリア矯正歯科
0270-30-4618 予約
太田大泉クリア歯科
0276-20-1180
すがや歯科医院
0479-25-6480
お問い合わせ
症例集 Case

小児矯正

Before

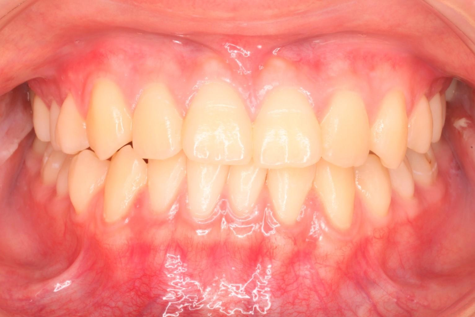
受け口のお子様の症例です

受け口(小児)

After

取り外し式装置を夜間使用することで治療しました

受け口(小児)

Group dental clinic クリア矯正歯科グループ医院

池袋クリア矯正歯科

池袋クリア矯正歯科

  1. 所在地

    東京都豊島区西池袋3-32-5 3F

  2. 診療時間

    火曜 13:00~15:00/16:00~21:00
    金曜 10:30~13:00/14:30~19:00
    土曜 09:30~13:30/16:00~18:00(※)
    日曜 09:30~14:30(※)
    ※土曜・日曜は隔週で診療

  3. 休診日

    月曜・水曜・木曜・祝日(※土曜・日曜は隔週で診療)

伊勢崎クリア矯正歯科

伊勢崎クリア矯正歯科

  1. 所在地

    群馬県伊勢崎市宮子町3139

  2. 診療時間

    月曜・金曜(隔週)、毎週木曜:14:00~20:00
    第1土曜:11:00~14:00、15:30~19:00
    第3日曜:10:00~15:00

  3. 休診日

    火曜・水曜

太田大泉クリア歯科

太田大泉クリア歯科

  1. 所在地

    群馬県邑楽郡大泉町いずみ2-3086-6

  2. 診療時間

    月~金曜・土曜 10:00~20:00
    日曜・祝日 09:30~18:00
    ※13:00~15:00は昼休み

  3. 休診日

    なし(お正月休み・ゴールデンウィーク・お盆休みを除く)

すがや歯科医院

すがや歯科医院

  1. 所在地

    千葉県銚子市双葉町6-29

  2. 診療時間

    月曜~水曜・金曜 09:30~18:00
    ※12:00~14:00は昼休み
    土曜 09:30~17:00
    ※矯正歯科 第3日曜日10:30~13:30/15:30~19:00、第1木曜日14:30~19:30

  3. 休診日

    木曜・日曜・祝日

池袋クリア矯正歯科
03-5927-1824 予約
伊勢崎クリア矯正歯科
0270-30-4618 予約
太田大泉クリア歯科
0276-20-1180
すがや歯科医院
0479-25-6480
お問い合わせ
カウンセリング予約・お問い合わせ
池袋クリア矯正歯科
03-5927-1824 予約
伊勢崎クリア矯正歯科
0270-30-4618 予約
太田大泉クリア歯科
0276-20-1180
すがや歯科医院
0479-25-6480
お問い合わせ